
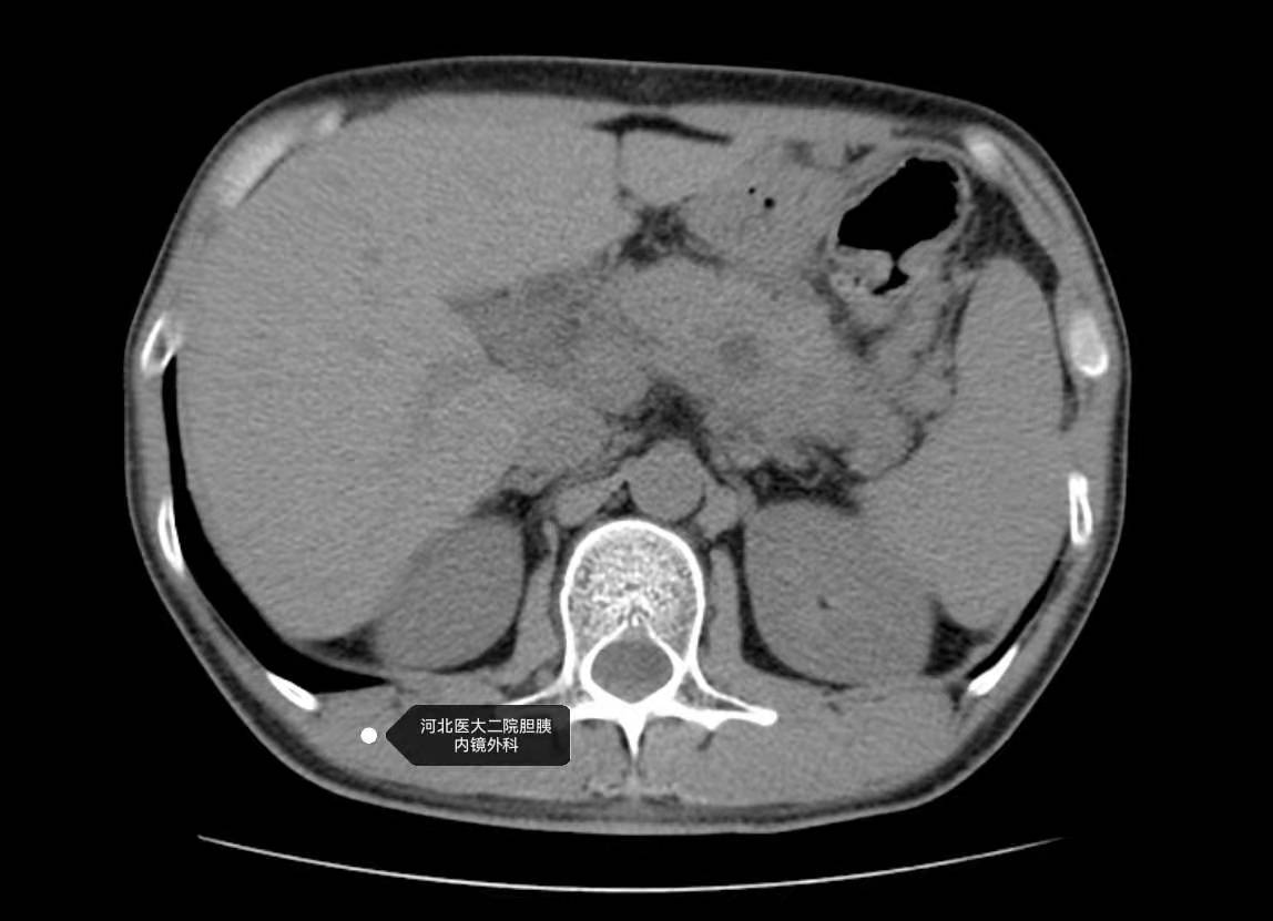
不说病史的情况下,只有下面平扫CT资料,EUS如何判断胰腺占位是个啥性质?
EUS如下。
血流如下。
弹性如下。
这个病例,其实故意卖关子隐藏了患者病史和其他一些信息。
患者青年男性,既往急性胰腺炎病史,且形成了假性囊肿,我们做过EUS引导下的假性囊肿穿刺引流。这次是复查。因为术前考虑诊断比较明确,这个病变就是一个坏死包裹,所以也没有查增强CT或者核磁之类的。
其实这个患者我们也做了强化的EUS,也是为了和肿瘤鉴别一下。
占位自始至终都没有显影,所以里面是没有血管的。
其实也是想向大家分享一下超声谐波造影在不明占位中的作用。